许大爷多年前发现直肠癌,及时做了直肠癌的手术,术后病理为腺癌,浸润至浆膜下,听取医生建议后进行了6周期的术后化疗。化疗期间对于许大爷来说非常痛苦,所幸在家人的陪伴下坚持了下来,期间复查结果较好。
肿瘤发生转移,医生定制治疗方案
前段时间许大爷出现了咳痰带鲜红色血,家属马上带许大爷前往医院做了肺CT检查,不幸的是许大爷右肺上叶和下叶都出现了占位性病变,家属对老人的病情非常的担心,家属在多方询问并在朋友的介绍下找到沈阳市第十人民医院介入科张申众主任,张申众主任通过详细了解患者病情后,向患者家属讲解首先要先确定右肺上下叶病灶是原发肺癌还是肠癌转移的,建议患者现行气管镜取病理明确诊断,患者家属经过考虑后决定行气管镜检查并取病理,结果令家属非常失望,病理提示腺癌,倾向于肠道转移。病理出来后张申众主任为患者制定了支气管动脉灌注化疗联合载药栓塞精准治疗的方案并向患者家属详细介绍了方案的优越性,患者家属详细了解方案后非常认可该方案。


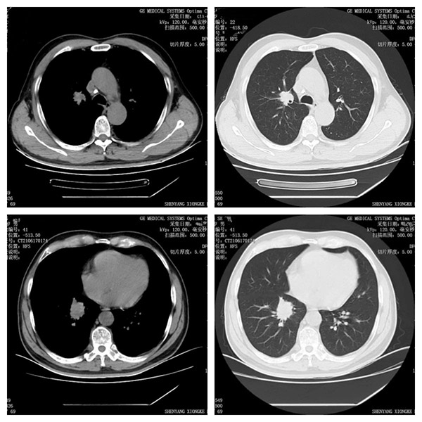
术前CT
化疗药物灌注,栓塞肿瘤血管供应
手术如期进行,术中很快就找到肿瘤的供血血管,造影后发现肿瘤供血非常丰富,应用微导管先超选支气管动脉并进行灌注化疗药物后再应用栓塞微球栓塞肿瘤供血血管,再次造影后发现肿瘤染色消失,手术过程非常顺利,许大爷感觉良好,像平时在家躺着一样手术就结束了。


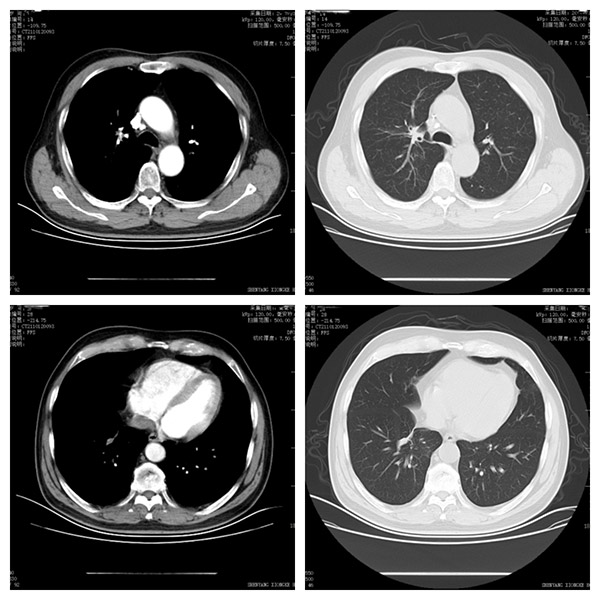
术后CT
精准抗癌,转移病灶“消失”
术后老许大爷积极配合治疗,等到2个月左右再次复查CT时,老许大爷和家属发现右肺上下叶两个病灶“神奇”的消失了。转移不可怕,精准抗癌路,我们遵循患者个性化的治疗方案,一患一案,始终为患者制定符合自身情况的治疗方案,让患者有信心、积极的面对肿瘤。

科普链接
支气管动脉化疗栓塞术是指将导管超选择至肺病灶的供血血管内,通过导管将治疗肿瘤的药物送达肿瘤内部,并对肿瘤的供血血管进行栓塞,使肿瘤缺血坏死从而达到杀死肿瘤的目的。支气管动脉化疗栓塞术比全身静脉化疗不良反应小、疗程短、疗效好,对于不能或不愿意手术的患者,能有效改善生活质量,延长生存期,是一种有效的综合治疗方法,具有较高的临床价值。
(图片来源于网络)
供稿:肿瘤介入科
肿瘤介入科

肿瘤介入科简介:
沈阳市第十人民医院(沈阳市胸科医院)肿瘤介入科是集沈阳市咯血诊治中心、血管通路中心、国家卫健委能力建设和继续教育肿瘤微创介入建设中心为一体的创新团队。主要的诊治手段:肿瘤的微创治疗、血管介入和非血管介入治疗等。包括各种恶性肿瘤的动、静脉化疗;实体肿瘤的射频消融、化学消融治疗;实体肿瘤的放射性粒子治疗;肿瘤的血管栓塞及载药微球栓塞治疗及肺结节的微波消融。
科室带头人张申众主任,现任沈阳咯血诊治中心主任、国家卫健委能力建设和继续教育肿瘤微创介入建设中心委员、中国抗癌协会肿瘤介入学专业委员、胸部肿瘤诊疗专家委员、粒子治疗分会委员、中国介入微创治疗专业委员会、中国医药教育协会介入微创治疗专业委员会委员、辽宁省肺癌防治协会委员、医学会介入学分会肿瘤介入委员、介入医学创新联盟理事、放射肿瘤治疗学分会委员、沈阳医学会肿瘤介入分会副主任委员、外周血管疾病与肿瘤介入诊疗技术质量控制中心委员。
联系电话:88323438——8137
地址:沈阳市第十人民医院1号楼十一层