家住辽宁朝阳的15岁少年,今年对他来说,注定非同寻常。这一年在他身体上有两个非常明显的变化,其一是今年他长高了12厘米,以前从没长这么快,另一个是他前胸有个“坑”,越来越明显。父母也开始注意孩子前胸的凹陷,经过上网查找,感觉孩子的病可能是“漏斗胸”,又经过多方咨询,得知沈阳药科大学附属胸科医院暨沈阳市第十人民医院(沈阳市胸科医院)胸外科治疗漏斗胸非常有经验,带孩子来医院就诊,完善检查,确诊漏斗胸,需要手术治疗,住院后,术前检查无禁忌,很快就安排手术,术后7天顺利出院,不仅没有耽误正常上学,而且也不怕被小伙伴嘲笑。一个简单的手术,解决大问题,阳光少年,挺起胸膛,迎接未来。
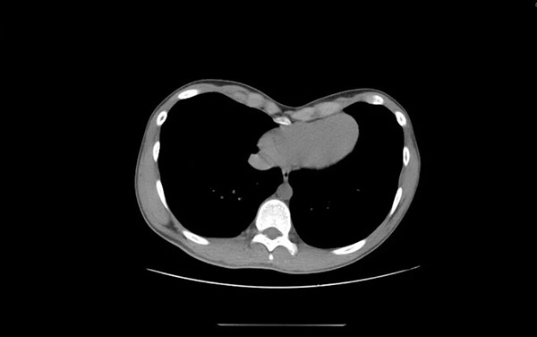
手术前

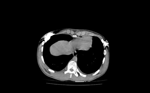
手术后

什么是"漏斗胸"?
漏斗胸是一种先天性疾病,有家族史。男性较女性多见。漏斗胸属渐进式病变,在出生时可能就已存在,但往往在几个月甚至几年后才愈来愈明显而被家长发现。漏斗胸的外型特征为前胸凹陷,肩膀前伸,略带驼背以及上腹突出。如果不及时矫正,随着年龄增长,凹陷程度逐渐加重,压迫心脏造成脊柱侧弯一系列严重的后果。

漏斗胸的治疗:
漏斗胸作为发病率较高的胸壁畸形疾病之一。同其他胸壁畸形疾病一样,漏斗胸的治疗主要以手术为主。目前漏斗胸首选微创矫正手术(Nuss 手术),通过在胸廓两侧做小切口,植入定制钢板将凹陷的胸骨撑起,待胸廓定型后(通常 2~3 年)再取出钢板。该手术具有创伤小、出血少、恢复快的特点,术后 1~2 周即可出院,远期矫正效果稳定。
医生建议:
青春期是漏斗胸进展高发期,需重点警惕。进入青春期,孩子身高快速增长,但胸壁的软骨和骨性结构发育不均衡,很容易导致胸骨被向内牵拉,凹陷程度明显加深。很多孩子的漏斗胸就是在这个阶段从轻度发展为中度甚至重度的。面对漏斗胸,家长不用过度焦虑“会不会加重”,但也不能掉以轻心。把握好“学龄期初次评估、青春期定期随访”的节奏,让专业医生帮你判断病情变化,才是最稳妥的做法。早监测、早了解、早准备,才能真正守护好孩子的健康成长~