在沈阳药科大学附属胸科医院暨沈阳市第十人民医院(沈阳市胸科医院)呼吸与危重症医学科五病区、内窥镜室、中西医结合肿瘤科、ICU科室,一场跨越 30 天的生命接力赛,刚刚圆满结束。
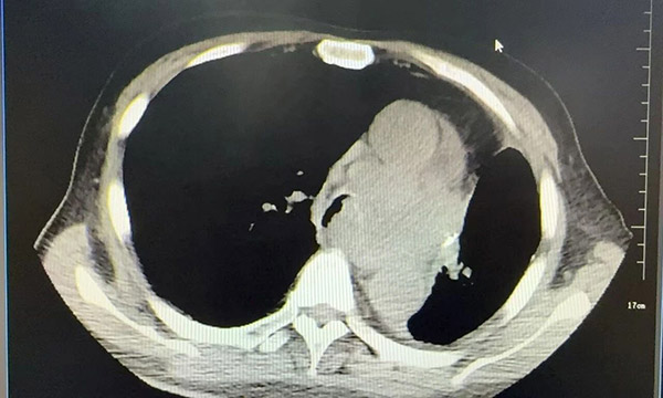
患者张某,男性,75 岁,既往因肺腺癌接受左肺部分切除术。然而术后两年,他却因左总支气管肿瘤复发,再次陷入呼吸困难的险境,不除外化疗相关间质性肺疾病,入住医院呼吸与危重症医学科五病区。影像与内镜显示,肿瘤几乎完全堵塞主支气管,随时可能出现窒息风险。
胸部CT:

面对如此危重的情况,医院迅速启动多学科协作机制。内窥镜室张庆主任,联合呼吸科五病区白国峰主任、中西医结合肿瘤科刘强主任、ICU张雨萌主任对患者病情进行整体评估,制定了分阶段、精细化的诊疗方案。
住院期间,张庆主任团队每周 2 次实施气管镜介入治疗,共完成7 次精准干预,包括射频热熔、激光切割、球囊扩张等多种先进技术。每一次治疗都是在毫厘之间为患者“打开生命之门”,逐步恢复气道通畅,为后续治疗创造条件。
张庆主任为患者进行气管镜治疗:

第一次气管镜下主气道:器官几乎堵死,气管镜无法通过,不能看到隆突。第三次气管镜治疗:气管镜可勉强通过。
为了配合病情控制,患者呼吸困难缓解后,转入肿瘤科进行化疗。然而患者化疗结束后,因用力咳痰,患者突发大咯血,情况万分危重。紧急转入ICU治疗,在 ICU 团队的全力守护下,患者接受了2次气管镜止血与吸痰治疗,成功化险为夷。病情稳定后,呼吸科五病区继续给予系统的抗感染、减轻水肿与平喘治疗,最终患者顺利好转出院。
第七次气管镜治疗:从呼吸科到内窥镜室,从内窥镜室到肿瘤科,从ICU病区再到呼吸专科管理,多个团队无缝衔接、精准配合,为患者重获新生保驾护航。
此次成功救治不仅展现了医院在呼吸介入、肿瘤诊疗及危重症救治领域的技术实力,更体现了多学科协作体系在复杂病例中的巨大价值。未来,医院将继续以仁心仁术守护健康,以专业实力创造更多生命奇迹。