国内首创"纤支镜下超选择注药导管置入术"开启空洞性疾病治疗新纪元
近日,沈阳市第十人民医院(沈阳市胸科医院)呼吸与危重症医学科联合内窥镜中心成功开展国内先进、省内首例"纤支镜下超选择注药导管置入技术",为一名耐药性真菌性肺空洞患者实施精准靶向治疗。该技术的成功应用标志着我院在复杂呼吸道疾病介入治疗领域达到国内领先水平,为空洞性疾病的治疗开辟了"精准导航+药物直达病灶"的创新路径。
技术突破:毫米级操作破解真菌空洞治疗难题
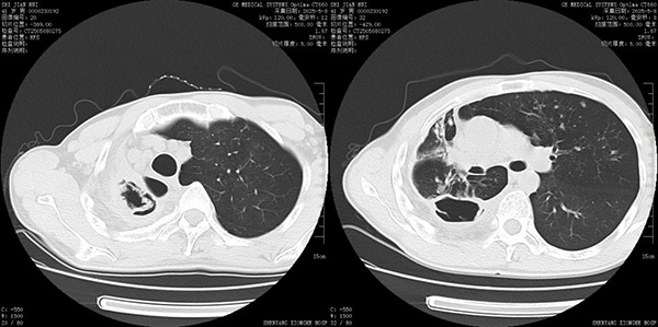
真菌性肺空洞因病灶位置深、药物渗透难,导致传统全身用药存在疗效差、肝肾损伤风险高等痛点。医院呼吸科团队创新开展"纤支镜下超选择注药导管置入技术",通过直径仅2mm的超细注药导管,在CT引导下精准手绘定位病灶,将注药导管超选择性插入病变内部,实现抗真菌药物的局部高浓度灌注。以实现加大局部病灶组织药物血药浓度,降低全身副反应,缩短空洞闭合时间的治疗目的。

多学科联动:呼吸介入与内镜技术的深度融合
本次新技术新项目的开展得到了徐冰院长的大力支持与指导,由方强教研室主任牵头,呼吸与危重症医学科五病区白国峰主任联合内窥镜中心张庆主任团队共同完成。呼吸科团队凭借在肺部感染性疾病领域积累的丰富经验,精准制定药物配比方案;内镜中心运用三代电子支气管镜系统,实现术中实时三维成像与动态导航。两大学科的"双剑合璧",充分展现了医院在呼吸介入治疗领域的综合实力。
疗效显著:有的放矢,打开肺空洞治疗新篇章
接受治疗的张先生(化名)为复发性真菌感染患者,既往结核病史,遗留肺内空洞,现因合并肺内曲霉菌感染,因反复咳嗽、咳痰,发热、咯血多次住院治疗。患者自述经济及心理均承受较大压力。

2025年5月12日入住呼吸与危重症五病区,经多学科讨论、多篇学术文献论证以及患者知情同意下,拟定气管镜下,肺内空洞留置导管并经导管注入抗真菌药物治疗方案。

留置导管后即刻,即经留置导管向空洞内注入两性霉素B抗真菌治疗。

患者留置导管后无不适,每日经留置导管向空洞内注入两性霉素B。抗真菌药物直达病灶,有的放矢,提高肺组织血药浓度。经过一周的治疗,患者咳嗽、咳痰明显减轻,发热症状消失,病情好转出院。
肺结核合并肺曲霉菌病病情复杂多变,治疗难度大,传统口服药物对此类患者疗效欠佳,并且容易出现耐药及药物不良反应等问题,因此,寻找一种新的治疗策略就显得尤为迫切和中药,两性霉素B作为一种广谱抗真菌药物,对肺曲霉菌有较好的疗效。然而,由于其药物毒性及不良反应限制其在临床中的应用。支气管镜下灌注两性霉素B治疗是一种局部给药方式,通过将药物直接注入病灶,可以减少药物毒副反应。此患者通过空洞内留置导管,每日注入两性霉素B治疗,有效提高肺组织药物浓度,降低药物不良反应发生概率,不需要反复行气管镜检查及治疗,降低患者经济压力,减轻痛苦。促进患者早日康复。
患者心声:
"来胸科医院看病,真是我做过最正确的选择,遇到你们是我的幸运!"——术后患者张先生
院长评价:重新定义空洞治疗的中国方案
"这项技术将介入治疗的精准性与抗感染药物的靶向性完美结合,为耐药菌感染治疗提供了全新方式。"孙颖副院长在全程参与该患者诊疗过程结束后评价。据悉,该技术已纳入医院"胸部疑难病诊疗中心"重点推广项目,未来将惠及更多复杂肺部疾病患者。
科技赋能生命:打造区域性呼吸疾病诊疗高地
作为辽宁省重点专科建设单位,沈阳市第十人民医院(沈阳市胸科医院)始终秉持"微创化、精准化、个体化"诊疗理念。此次技术的突破,既是医院愿景暨打造一所以“胸部疾病为龙头”的综合性医院目标的里程碑成果,也彰显了呼吸与危重症医学科、内窥镜中心等学科在疑难危重症领域的攻坚实力。【就诊指南】 呼吸与危重症医学科五病区,出诊时间:周一至周五全天。详细信息可关注沈阳市第十人民医院服务号,线上预约。也可拨打科内电话详细咨询。
【健康热线】 024-88360676