突发急症:两颗枣核引发"生死劫"
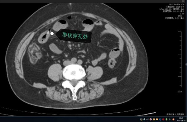
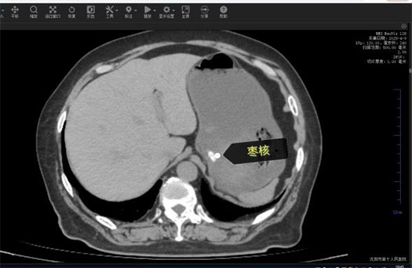
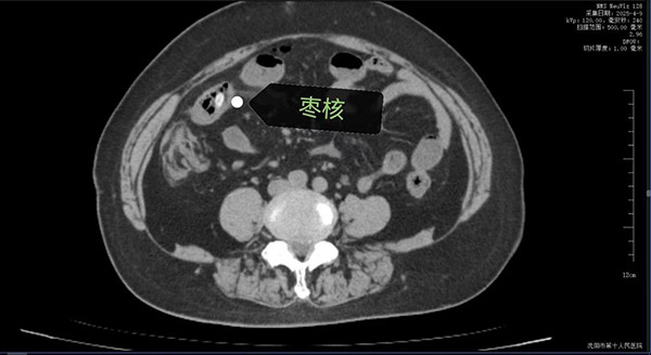
63岁的康阿姨因突发"刀绞般"的剧烈腹痛被深夜紧急送往沈阳市第十人民医院(沈阳市胸科医院)。短短数小时内,她已出现高热、腹肌强直等弥漫性腹膜炎症状,CT检查显示其腹腔内游离气体,高度怀疑消化道穿孔。追问病史时家属猛然回忆:今天上午康阿姨吃粽子时误将两颗枣核吞下!沈阳市第十人民医院(沈阳市胸科医院)普外科任庆华主任团队火速会诊,判断枣核尖端已刺穿小肠,必须立即手术。
精准拆弹:3小时多术式联合攻坚
凌晨的手术室里,任庆华主任与刘晓斌副主任医师打开腹腔时,眼前的场景令人心惊:大量浑浊脓液涌出,两枚长达3cm的尖锐枣核分别嵌顿在幽门处与回肠段,其中远端小肠已形成两处直径0.8cm的穿孔,两处约10cm及5厘米肠管因缺血呈黑紫色。医疗团队当机立断,行"胃切开异物取出术"完整取出胃内枣核后,针对坏死肠段实施精准的"小肠多节段部分切除术",同时分解患者既往腹部手术形成的致密粘连。凭借丰富的临床经验,团队在确保彻底清除感染灶的前提下,最大限度保留了健康肠管。



匠心护佑:微创理念贯穿救治全程
"这类急症手术如同拆除定时炸弹,既要快又要准。"术后任庆华主任解释道。团队采用腹部小切口联合术中肠镜探查,在完整取出异物的同时,通过精细的肠管吻合技术,使患者术后肠道功能恢复时间缩短40%。术后护理团队运用加速康复理念指导早期下床活动,康阿姨术后第3天即恢复排气,两周后康复出院时紧握医护双手:"没想到两颗枣核差点要命,更没想到医生们能从阎王手里把我抢回来!"

专家提醒:
刘晓斌副主任医师特别提示,枣核、鱼刺等异物引发的消化道穿孔近年呈上升趋势,尤其老年人群因感觉迟钝更易中招。建议食用带核食物时做到"三要":要去核、要细嚼、要留心。若误吞异物后出现腹痛、发热,务必立即就医,切勿盲目采用"吞饭团"等土方法,以免造成二次损伤。
这场与死神赛跑的生命救援,彰显了普外科团队对急危重症的快速反应能力和精准手术水平。从精准诊断到多术式联合实施,从损伤控制到加速康复,每一个环节都凝聚着医者仁心与技术匠心,为消化道异物致穿孔的救治提供了经典范例。