一、"头痛难忍"68岁老人险遭“病痛”击溃
68岁的李阿姨最近过得很煎熬——坐立行走,吃饭睡觉一直头痛,有时连微风拂面都会引发脸部"闪电痛"。最严重时一天发作上百次,疼得她不敢出门。"就像有人拿电钻在脸上打洞!"李阿姨痛苦地说。
二、揪出真凶:神经堆里藏"定时炸弹"
接诊的沈阳市第十人民医院(沈阳市胸科医院)神经中心景雪峰主任高度怀疑是三叉神经痛马上安排检查。核磁共振发现真相:李阿姨右耳后方的脑部"神经总闸"区--右侧桥脑小脑角区域发现占位性病变,藏着一颗乒乓球大的肿瘤。这里密布着:
✓ 控制脸疼的三叉神经
✓ 掌管听力的耳蜗神经
✓ 三条给大脑供血的"生命线"血管
相当于在纵横交错的高压电网里拆炸弹!参与手术的医生形容。

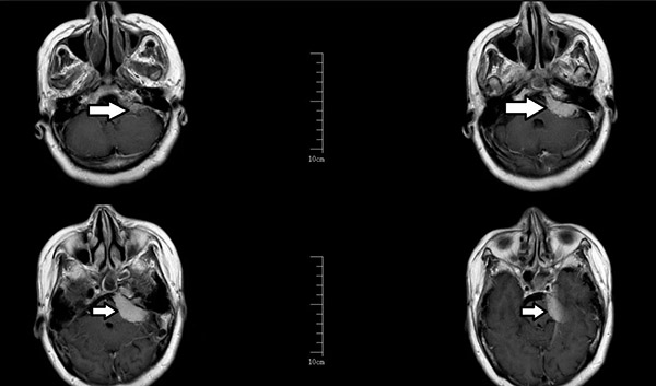
术前增强磁共振
三、生死考验:要在头发丝粗细的神经间动刀
手术面临四大"鬼门关":
1. 血管关:肿瘤裹住关键动脉静脉,稍碰破就会脑出血。
2. 神经关:肿瘤与听力神经仅隔0.3毫米(≈头发丝直径)
3. 功能关:剥离时手抖1毫米,可能造成永久面瘫
4.脑干关:肿瘤紧贴脑干,稍有不慎就会损伤脑干,危及生命。
沈阳十院迅速联合中国医大一院顶尖专家,组成"拆弹敢死队"。
四、"绣花手术"全记录
1.神经导航系统启动,定位肿瘤与脑干临界线
2.显微剪开蛛网膜,暴露被血管缠绕的肿瘤主体
3.分块切除肿瘤核心,完整保留面神经纤维束
4.完成小脑前下动脉剥离,血流灌注100%恢复
5.严密修补硬脑膜,0.01mm级防漏处理

五、术后:阿姨笑着说重获新生
"现在刷牙再也不怕了!”李阿姨摸着脸惊喜地说:"真的不疼了!"现在她能正常吃饭、遛弯,最开心的是能抱着小孙子亲脸蛋。
复查显示:
✓肿瘤100%清除✓听力完全保留 ✓ 面部肌肉活动正常
景雪峰主任表示:"这类手术如同在神经丛林排雷,我院配置的蔡司900显微镜可放大40倍,能清晰分辨神经纤维与肿瘤边界。加上与国家级医疗中心的深度合作,才能实现功能零损伤的完美结局。"

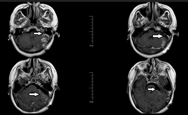
术后增强磁共振
医生紧急提醒:
"脸突然像触电一样疼,千万别当牙疼治!"景主任特别提醒,三叉神经痛常有这些特点:
✓刷牙、吃饭、吹风时突然剧痛
✓疼痛像电击、刀割,持续几秒到几分钟
✓普通止痛药完全无效
✓伴有耳鸣或听力下降
✓中老年人多发,女性更多见
沈阳十院神经外科三大底气:
1. 设备牛:引进德国蔡司显微镜(能把神经放大成筷子粗)
2. 专家强:每年大量脑部手术,经验丰富
3. 反应快:与医大一院,盛京医院,辽宁省省人民医院,陆总医院建立"救命直通车"