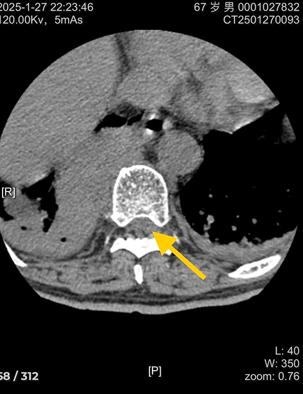
接到紧急通知后,脊柱外科的医生们迅速响应。他们告别了家中热闹的聚餐,告别了正在欢笑玩耍的孩子,告别了翘首以盼的亲人,第一时间赶回医院。此时,无影灯下,一场与时间赛跑的生命救援正式拉开帷幕。 手术台上,医生们全神贯注,每一个操作都精准而谨慎。他们深知,这场手术不仅关乎老人今后的生活质量,更关乎一个家庭的幸福。胸椎9 - 10椎体感染伴全瘫病灶清除减压手术难度极高,但脊柱外科的医护团队凭借着丰富的临床经验、扎实的专业知识和过人的心理素质,沉着应对每一个挑战。他们仔细地清除病灶,小心翼翼地进行减压操作,不放过任何一个可能影响手术效果的细节。 手术室外,老人的家属焦急地等待着,每一分每一秒都显得无比漫长。他们的眼神中充满了担忧和期待,心中默默祈祷着手术能够顺利成功。而医护人员的每一次沟通,都是给家属吃的定心丸,让他们在焦虑中感受到了一丝温暖和希望。 经过数小时的艰苦奋战,手术终于顺利完成。当医生们走出手术室,脸上虽然带着疲惫,但眼神中却透露出欣慰和自豪。他们成功地为老人清除了病灶,减轻了神经压迫,明确病因,为老人重新站起来带来了希望。这一刻,所有的付出都变得无比值得。 在术后的护理过程中,脊柱外科的护理团队时刻关注着老人的生命体征,精心照顾老人的生活起居。无论是按时为老人翻身、换药,还是耐心地安抚老人的情绪,她们都做得细致入微。大年初四早晨,术后第三天,老人的下肢感觉定位觉逐渐恢复,同时通过医院实验室的病原学培养明确为耐药金黄色葡萄球菌感染,为后续治疗指明了方向。随着症状逐渐好转,患者和家属的脸上都露出了久违的笑容。 沈阳市第十人民医院(沈阳市胸科医院)脊柱外科的全体医护人员,用实际行动诠释了医者仁心的深刻内涵。在这个特殊的春节,所有医院工作在一线的医护人员放弃与家人团聚的时光,坚守在救死扶伤的第一线,为患者的生命健康筑起了一道坚固的防线。


