突发意外陷昏迷
医生迅速施救挽回生命
近日,一名患者在家中突发头晕不慎摔伤,导致颅内出血并陷入昏迷。幸运的是,经过沈阳市第十人民医院(沈阳市胸科医院)神经中心外科组及时的手术治疗,患者不仅成功脱离危险,还在后续的治疗中借助三维成型PEEK(聚醚醚酮)高科技材料成功修复了颅骨缺损,实现了颅骨的完美修复,最终康复如初。
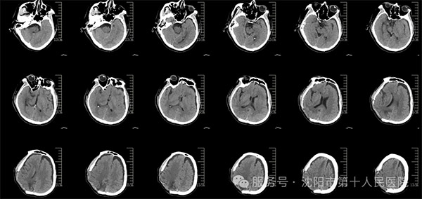
该患者在突发头晕头部摔伤,摔伤后立即被送往医院进行紧急救治。由于头部受到重创,到院时已完全昏迷,四肢瘫痪,瞳孔散大,生命垂危,急诊室予以积极的抢救,头CT检查发现患者颅内出血严重并中线移位脑疝。时间就是生命,神经中心外科景雪峰主任带领团队迅速实施开颅手术,清除了颅内的血肿,并去除了部分颅骨以降低颅内压,从而挽救了患者的生命。手术后,患者仍昏迷病情极为危重,但经过神经外科及神经重症等多学科多位专家协同会诊治疗下,患者逐步恢复自主呼吸脱离呼吸机,由重症医学科转至神经中心病房。

外伤术前影像资料

外伤术后影像资料
颅骨缺损存隐患
面临多重风险
神经中心医生对患者进行外科专科治疗和康复促醒,景雪峰主任及其医护专业团队每日详细评估病情,及时制定用药方案,早期推进康复介入,耐心教授患者家属协同护理促进排痰和加强营养,在医护和家属共同努力下,患者逐渐苏醒康复。患者在经过一段时间治疗,各项功能大致恢复正常,但患者头部颅骨缺损,减压窗塌陷严重,容易发生脑摆动引起癫痫等不良情况,并且脑在没有颅骨保护的情况下,在日常生活中也不安全也影响美观。在患者进一步康复后,神经中心主任建议患者颅骨修补。
颅骨修补还原
患者家属都满意
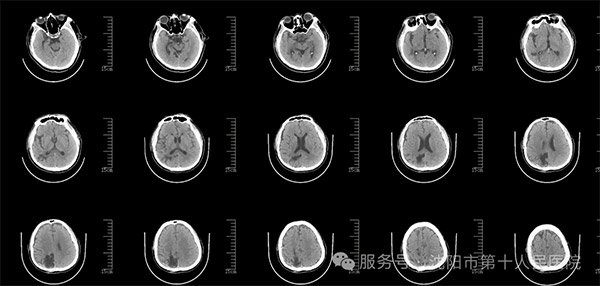
在修补手术时,神经外科医生和家属商讨后经同意最终决定采用当前最前沿的3D打印PEEK材料进行修补手术。手术前对患者进行头颅三维CT检查,根据患者CT数据进行三维重建,利用3D打印技术制作出与颅骨缺损完美匹配的植入物,最大程度还原原有颅骨的形态与曲率。最终在医患双方的共同努力下,手术顺利完成。术后,患者头颅恢复原貌,塌陷的头皮鼓起来,圆润饱满,匀称美观,几与受伤前无异。患者及家属对手术效果十分满意,并对医护人员的精湛医术和周到服务表示衷心感谢。
患者在接受手术后恢复良好,目前已进入稳定恢复期,并回归正常生活。此患者的救治成功不仅体现了我院对神经急重症患者的强大救治能力,也展示了我院神经中心外科的高超技术水平,能够更好的服务沈城人民。

修补术前影像资料

修补术后影像资料

在此,我们也提醒广大市民,在日常生活中要时刻注意眩晕后摔倒,避免因不慎摔倒等意外事件导致身体损伤。同时,在出现身体不适或意外伤害时,要及时就医并接受专业治疗,以保障自身健康和安全。
神经中心 沈阳市第十人民医院(沈阳市胸科医院)神经中心拥有一支由神经内科、神经介入、神经外科等多学科专家组成的精英团队,设有卒中、认知、神经感染和重症肌无力四个专病诊治中心,对各类神经系统疾病的诊治均具有丰富的临床诊疗经验。卒中中心是沈阳市急性脑卒中医疗救治第一批定点单位,建有卒中救治绿色通道,可常规开展静脉溶栓、动脉取栓、颈动脉支架、颈内动脉内膜剥脱术、动脉瘤介入栓塞、脑出血综合手术治疗等,是集预防、诊疗、康复、科研为一体的标准化卒中管理单元。此外,中心擅长对各类型认知障碍和痴呆、脑血管疾病、癫痫、神经肌肉病等常见病和疑难病的诊断与治疗,达到省内领先水平。在未来的道路上,神经中心将继续秉承“以患者为中心”的服务理念,为患者的健康保驾护航。