65岁的于先生在体检中发现左肺有边界不清的结节,由于此前曾接受过肺部手术,身体较弱,家属十分抗拒做手术、放化疗等传统治疗。综合考虑,医生建议于先生做一种新型的肿瘤微创技术——微波消融术。近日,于先生在沈阳市第十人民医院(沈阳市胸科医院)肿瘤介入科接受了该项手术,术后恢复良好,很快就康复出院了。
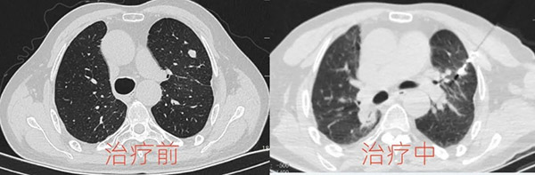
患者于先生两年前因右肺癌行右肺上叶切除术,2024年2月在复查肺CT时,发现左肺上叶出现结节,大小约13mm*9mm,而且边界欠清,这让于先生及家属产生了严重的心理负担:“再做手术或者放化疗,身体真的吃不消啊!”
在经过肿瘤介入科团队的仔细查体和评估后,考虑到于先生身体素质及肺功能较弱,并且此前也进行了肺叶切除手术,担心再次做手术或者放化疗等传统治疗,会对患者有一定的影响,于是建议于先生可以采取一种新型的肿瘤微创技术———微波消融术来进行治疗。这种技术可一“针”原位“杀死”肿瘤细胞,并且对患者身体其他部位不会有伤害。

最后,在征得患者和家属同意后,于3月2日下午,肿瘤介入科团队于CT定位下为于先生顺利实施了左肺结节微波消融术,手术很成功,于先生激动地说:“一根小针就能使肺结节在几分钟内消失,还恢复得这么快,真是太神奇了,为咱们十院肿瘤介入科的医生点赞!”

微波消融小科普
微创、精准
微波消融术到底是怎么回事儿?治疗的原理是什么?
沈阳市第十人民医院肿瘤介入科张申众主任介绍,微波消融术是指在超声、CT等影像设备定位引导下将微波消融针穿刺到肿瘤底部,利用消融针针尖发射微波,直接作用于病灶组织,组织内极性分子在微波照射下相互碰撞,产生热量使肿瘤局部温度迅速升高,导致细胞凝固性坏死。通俗来讲,就是高温”烧掉“肿瘤。坏死组织可被周围正常组织吸收或经生理腔道排出体外。
微波消融术在肿瘤微创领域属于精准微创技术,特别适合直径3厘米以下结节,具有微创、精准、身体创伤小、治疗时间短、可重复性、术后恢复快、适应性广等优势!市十院肿瘤介入科近半年完成了多例肺部微小结节微波消融术,也标志着医院肿瘤微创技术在原有基础上迈向了新的台阶!
肿瘤介入科

肿瘤介入科简介:
沈阳市第十人民医院(沈阳市胸科医院)肿瘤介入科是集沈阳市咯血诊治中心、血管通路中心、国家卫健委能力建设和继续教育肿瘤微创介入建设中心为一体的创新团队。主要的诊治手段:肿瘤的微创治疗、血管介入和非血管介入治疗等。包括各种恶性肿瘤的动、静脉化疗;实体肿瘤的射频消融、化学消融治疗;实体肿瘤的放射性粒子治疗;肿瘤的血管栓塞及载药微球栓塞治疗及肺结节的微波消融。
科室带头人张申众主任,现任沈阳咯血诊治中心主任、国家卫健委能力建设和继续教育肿瘤微创介入建设中心委员、中国抗癌协会肿瘤介入学专业委员、胸部肿瘤诊疗专家委员、粒子治疗分会委员、中国介入微创治疗专业委员会、中国医药教育协会介入微创治疗专业委员会委员、辽宁省肺癌防治协会委员、医学会介入学分会肿瘤介入委员、介入医学创新联盟理事、放射肿瘤治疗学分会委员、沈阳医学会肿瘤介入分会副主任委员、外周血管疾病与肿瘤介入诊疗技术质量控制中心委员。
联系电话:88323438——8137
地址:沈阳市第十人民医院1号楼十一层
编辑:黄琬淇
校对:杨薇
审核:孙颖