这是一名病情危重、复杂的老年患者,但在沈阳市第十人民医院(沈阳市胸科医院)多学科会诊及全院综合救治能力的保障下,依旧能够顺利手术,转危为安。患者本人和家属对普外科的医务人员连连道谢。
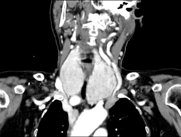
睡觉不能平卧,走路仅10步之内 患者石阿姨79岁,平时就气短乏力,反酸烧心,活动受限。近3个月症状加重,睡眠已经不能平卧,走路仅十步之内,严重影响日常生活。 石阿姨来沈阳市第十人民医院(沈阳市胸科医院)就诊,经检查后诊断为“胸骨后巨大甲状腺肿”、“食管裂孔疝”,胸骨后巨大的甲状腺肿压迫气管,导致气道严重狭窄, 呼吸困难。为解决石阿姨的痛苦,决定手术治疗,入住普外科后经完善检查,术前诊断结果很不乐观: 1. 胸骨后巨大甲状腺肿,气道狭窄;2.食管裂孔疝(Ⅲ型),胃食管反流病;3. 慢性阻塞性肺疾病(COPD);4.冠心病、高血压。 石阿姨高龄、肥胖且基础病多,影像学及内镜显示,声门下约2.5cm处气管出现长约3cm的严重狭窄,最窄处约3mm。甲状腺下极达主动脉弓以下,压迫双侧无名静脉及头臂干并向大血管间隙生长。麻醉和手术面临巨大风险。 多学科会诊,万全之策为手术护航 普外科向医务部提交多学科会诊,由麻醉专家庄晓晨副院长牵头组织普外科、麻醉科、胸外一科、呼吸二科、心脏中心各位专家进行科学严谨的全面评估,多学科会诊意见:要想解除气道狭窄缓解呼吸困难,只有手术切除甲状腺肿,食管裂孔疝二期处理,并制定了围手术期治疗措施及详细的麻醉、手术预案。 麻醉科根据此患者特殊情况拟定两种麻醉方案, 方案一:局麻下行气管镜探查,如狭窄处条件允许,则清醒状态下置入合适管径插管后予以全身麻醉。 方案二:如气管镜探查狭窄处口径过窄,无法置入合适气管插管不能满足通气需要,则行ECMO(体外人工膜肺)辅助下全麻手术,即于左右股静脉分别置入一根导管至下腔静脉与右心房处,将患者静脉血从下腔静脉抽出后经氧合器氧合再泵入右心房的方式来代替肺脏工作,从而达到无需气管插管又能满足机体氧供的效果。 普外科也制定了手术预案:1.甲状腺肿巨大,同重要血管神经关系密切,术中精细解剖,逐次支持切除,避免血管损伤至大出血,并要求快速切除病变解除气道压迫。2. 如逐次支持不能切除甲状腺肿,行劈开胸骨切除或胸腔镜下解剖游离甲状腺下极。3.气管长期受压,有气管软化可能,切除甲状腺肿可致气管塌陷,如不能悬吊支持气管,行气管切开气管套管置入。与患者及家属充分沟通并告知风险后,其表示十分理解与信任并坚决要求在我院行手术治疗。 巨大甲状腺肿2小时全切除,气道压迫完全解除 手术当日,麻醉科主任王涛、副主任医师张祥超等麻醉团队将各种型号导管、紧急气道装置、ECMO设备准备就绪,虽然插管过程困难,但最终在患者清醒状态局麻下经气管镜将较细的6.5#插管成功送至狭窄处远端后予以全身麻醉,连接呼吸机管路顺畅,压力适中且氧合良好。普科主任陈晓峰、副主任医师王鑫、主治医师刘聪手术团队在手术室护理团队的配合下,精细解剖、逐次支持切除,2个小时完成胸骨后巨大甲状腺肿双侧次全切除,完全解除气道压迫。术后第一天,阿姨下床活动行走自如,5天出院,彻底告别了不能平卧、轻微活动就呼吸困难的生活。 这例手术的成功,体现了医院多学科团队鼎力协作的专业风采。在ECMO技术支持保障、充分术前预案的基础上,即便面对复杂的疾病,也有确切实力为越来越多的患者解除病痛。 在沈阳市第十人民医院(沈阳市胸科医院),医者不仅有严谨的专业能力,更有为患者解除病痛的信念,与病魔做斗争、与患者同呼吸,为更多家庭造福。 供稿:普外科 普外科 科室简介: 沈阳市第十人民医院(沈阳市胸科医院)普外科为集医疗、科研、教学为一体的综合性临床科室。主要收治甲状腺、颈部肿物及乳腺疾病,肝胆胰脾、胃肠、肛门疾病,食管裂孔疝、腹外疝等,疾病涵盖感染、肿瘤及创伤等。以微创治疗为主要治疗手段,患者创伤小,恢复快。 联系电话:88323438转8228 地址:沈阳市第十人民医院 一号楼10层


