经皮穿刺活检术提供精准诊断
肺癌是一种常见的恶性肿瘤,对于人们的健康构成了严重的威胁。想要治疗肺癌,很重要的一点是精准诊断,而经皮穿刺肺肿物活检就是一种非常有价值的诊断方法。它可以确定病变的性质、大小、位置以及分期,同时也能为患者选择合适的治疗方案而提供准确的依据。
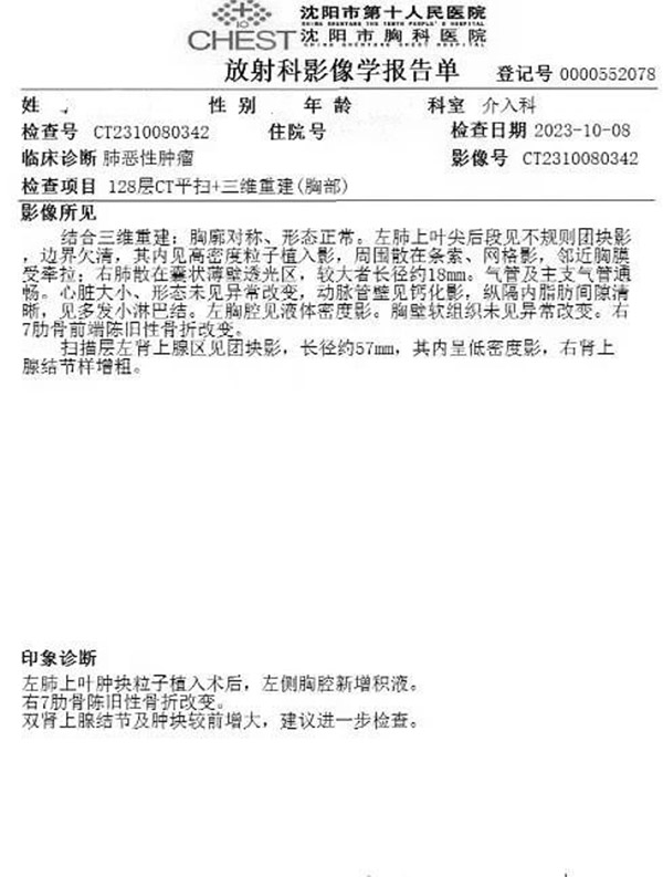
81岁的刘大爷,2021年体检时发现左肺占位病变。家属出于对老人年龄的担忧,及对手术的恐惧,询问了多家医院后,拒绝了配合明确诊断的各项诊疗方法。通过朋友介绍,慕名找到了沈阳市第十人民医院(沈阳市胸科医院)介入科张申众主任,张主任了解情况后,耐心细致的给大爷和家属讲解明确诊断的重要性,还画图说明活检的位置,通过有效的沟通,刘大爷同意配合治疗。为了确保手术的安全性及有效性,经过一系列术前的检查及缜密的身体状况评估,手术如期进行,一周后穿刺活检确诊为左肺上叶肺癌,双肺转移,纵隔淋巴结转移,心包转移。家属在得到这个明确诊断后,感到无比绝望,晚期肺癌等于对患者宣判死亡,而这时张主任为刘大爷制定了后续靶向药物、及放射性粒子植入等相配合的个性化晚期肺癌治疗方案。


靶向治疗、放射性粒子植入定制精准治疗方案
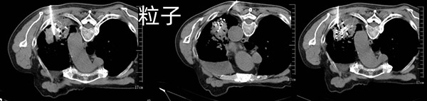
综合患者的状况,首选治疗方案是使用肺癌靶向药物,根据基因检测结果EGFR19外显子缺失突变,丰度1.5%,给予阿法替尼靶向治疗。口服靶向药期间,患者定期复查,一年半后逐渐出现咳嗽、喘息气短,复查肺CT发现左肺上叶病灶增大,同时出现左侧胸膜转移,左肾上腺转移。根据肿瘤进展情况,应更换靶向药物及静脉化疗,不过家属及刘大爷都拒绝进行化疗。根据肿瘤的分期、阶段,再结合患者身体状况,介入科团队拟采用放射性粒子植入术,以控制肿瘤的进展,家属及患者在详细了解方案后对粒子植入的疗法也非常认可。经过充分的术前讨论及准备,手术如期开展,术中按照预先拟定好的TPS计划系统均匀布放43颗粒子,仅30分钟成功实施粒子植入术。术后半个月刘大爷的咳嗽明显减轻,左肺病灶从83X49mm明显缩小到58X21mm。粒子植入术后至今,患者状态一直良好。


放射性粒子植入术后1个月复查左肺病灶从83*49mm缩小到58*21mm,疗效CR



两年多的抗癌之路,粒子照射控制病灶,配合靶向药物治疗,真正意义上实现了患者高质量的带“瘤”生存。在消灭肿瘤的路上,我们始终遵循MDT多学科诊疗模式,拒绝单一治疗方式,在最佳的时间,选择最适合患者的治疗方式,为患者制定准确的治疗计划,提供最合适、最恰当的诊疗方案,一站式解决肿瘤难题,让肿瘤患者不走弯路!
科普链接 粒子植入术是将放射性粒子植入到肿瘤组织或肿瘤侵犯的组织中,使肿瘤组织遭受最大程度的杀伤,而正常组织不受损伤的一种“消灭”癌细胞的手段。具有操作时间短、费用低、疗效好、副作用小及安全性高的优势。对手术、放化疗禁忌症、化疗失败以及无法手术切除的肿瘤患者,在控制缩小肿瘤体积、减少复发和明显减少不良反应方面,具有明显的治疗增益比和重要的临床价值。 供稿:肿瘤介入科 肿瘤介入科 肿瘤介入科简介: 沈阳市第十人民医院肿瘤介入科是集沈阳市咯血诊治中心、血管通路中心、国家卫健委能力建设和继续教育肿瘤微创介入建设中心为一体的创新团队。主要的诊治手段:肿瘤的微创治疗、血管介入和非血管介入治疗等。包括各种恶性肿瘤的动、静脉化疗;实体肿瘤的射频消融、化学消融治疗;实体肿瘤的放射性粒子治疗;肿瘤的血管栓塞及载药微球栓塞治疗及肺结节的微波消融。 科室带头人张申众主任,现任沈阳市第十人民医院肿瘤介入科主任、沈阳咯血诊治中心主任、国家卫健委能力建设和继续教育肿瘤微创介入建设中心委员、中国抗癌协会肿瘤介入学专业委员、胸部肿瘤诊疗专家委员、粒子治疗分会委员、中国介入微创治疗专业委员会、中国医药教育协会介入微创治疗专业委员会委员、辽宁省肺癌防治协会委员、医学会介入学分会肿瘤介入委员、介入医学创新联盟理事、放射肿瘤治疗学分会委员、沈阳医学会肿瘤介入分会副主任委员、外周血管疾病与肿瘤介入诊疗技术质量控制中心委员。 联系电话:88323438——8137 地址:沈阳市第十人民医院1号楼十一层