患者张先生长期反复咯血,导致情绪异常紧张,对稍剧烈的活动都避恐不及,每天生活在对咯血的恐惧当中,日渐消瘦、精神萎靡,辗转多地、多家医院就诊,均疗效不佳,最后慕名来到沈阳市第十人民医院。结核胸外科二病区的梁洪斌教授接诊,详细询问后得知张先生反复咳嗽咯血已有三年时间,曾于当地医院系统抗结核治疗和介入止血治疗,疗效欠佳,反复入院咯血治疗严重影响了患者及家属的生活和工作,对心理造成极大影响。
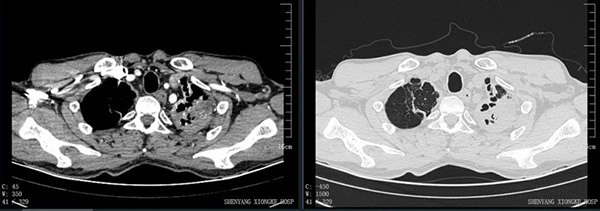
入院后经全面检查,考虑张先生左肺上叶结核合并感染(霉菌?)、双肺上叶支气管扩张、左肺上叶毁损肺。 为防止再出血及大咯血以致危及生命,手术切除已经没有功能且反复引起咯血的左上叶毁损肺是必然的。

左肺呈无功能状态,重要大血管(锁骨下动、静脉)与病灶粘连紧密。这样的肺切除极易出现血管破裂、大出血。

至此层面,整个左肺基本无功能,解剖层次不清晰。血管、支气管扭曲、变形,再次提高手术难度。
近年来结核胸外科手术大部分都是正常解剖下的肺叶、亚肺叶切除,偶有袖式肺叶切除或肺动脉、支气管双袖式切除术,作为胸外科高难手术的毁损肺切除,近年来已极少有医生去做了。究其原因主要是毁损肺病变部位粘连严重,肺门血管、支气管因肺内病变而扭曲、变形,手术处理粘连及血管时极易出现进入不了胸腔甚至血管破裂大出血,手术的难度和风险不言而喻。面对困难与挑战,丁卫忠教授带领的手术团队充分完善术前评估,针对患者的感染、贫血、营养不良等问题逐一给予纠正、控制,并与麻醉科、血库等科室反复讨论,最终制定了完备手术预案、麻醉预案。
在与患者家属详细沟通交待,征得同意后,手术顺利实施。术中情况与术前预判完全一致,肺组织与胸壁粘连致密,肺组织几乎是长在胸壁上,肺门血管、支气管扭曲变形,血管弹性极差且脆,肺组织、血管的游离极度困难,时刻都有血管破裂大出血死亡的危险。术中,麻醉师陈兆双、赵贵巍将患者生命体征等指标控制得及其平稳,在丁卫忠教授、梁洪斌教授、姚刚医生的默契配合下,肺组织完整从胸壁上游离下来,动、静脉血管亦如抽丝剥茧般游离暴露切断,终于将左肺上叶毁损肺完整切除。
术后患者恢复良好,再无咳嗽、咳痰、咯血,萎靡状态一去不返,笑容再次挂在脸上,近日即可康复出院。面对疑难、复杂病例手术,考验的不仅仅是技术,还需要医者的勇气、信心、责任、担当和一心为患的情怀。

图为患者术后第二日床头胸部DR片和病理报告。
相关链接:毁损肺是指肺叶或一侧全肺全部毁损,有广泛性的干酪病变、空洞、纤维化和支气管狭窄或扩张。肺功能基本丧失,药物治疗难以奏效。且成感染源,反复发生化脓菌或霉菌性感染。毁损肺的手术治疗方式通常需要肺叶或全肺切除。毁损肺术中大出血致死在胸外科手术中较为常见。在这里也提醒肺结核合并支气管扩张症患者要规范诊治,及时外科评估是否需要手术,切莫延误病情。
供稿:结核胸外科二病区 结核胸外科二病区简介 沈阳市第十人民医院结核胸外科二病区多年来致力于胸部良、恶性疾病的诊断和外科治疗。在结核病的外科治疗方面独具特色,率先在东北地区开展胸膜全肺切除术,标准Ⅰ、Ⅱ期胸廓成形术及包裹性脓胸、肺结核瘤等的微创手术。常规开展肺结核咯血、毁损肺、脓胸,支气管胸膜瘘、胸壁结核、淋巴结结核、泌尿生殖系结核、结核性缩窄性心包炎、各种肺化脓症及纵膈良恶性肿瘤的手术治疗。 联系电话:024-88323438-转8306